Larger Image

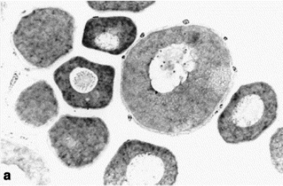
rpl34 (ribosomal protein L34 ) gene expression in Xenopus laevis oocytes, stage 1 and 2.

Image published in: Vaccaro MC (2003)

Copyright © 2003. Image reproduced with permission of the Publisher, Elsevier B. V.

GeneSynonymsSpeciesStage(s)Tissue
rpl34.LL34, XL34X. laevisSometime during oocyte stage I to oocyte stage IIcytoplasm

Image source: Published

Permanent Image Page
Printer Friendly View

XB-IMG-170593