Click here to close
Hello! We notice that you are using Internet Explorer, which is not supported by Xenbase and may cause the site to display incorrectly.
We suggest using a current version of Chrome,
FireFox, or Safari.
Heliyon
2022 Aug 20;88:e10396. doi: 10.1016/j.heliyon.2022.e10396.
Show Gene links
Show Anatomy links
Biochemical and ligand binding properties of recombinant Xenopus laevis cortical granule lectin-1.
Deetanya P
,
Sitthiyotha T
,
Chomanee N
,
Chunsrivirot S
,
Wangkanont K
.
???displayArticle.abstract???
Intelectins are putative innate immune lectins that are found throughout chordates. The first intelectin reported was Xenopus laevis cortical granule lectin-1 (XCGL-1 or XL-35). XCGL-1 is critical in fertilization membrane development in Xenopus. Here, we explored the biochemical properties of XCGL-1. The cysteines responsible for forming intermolecular disulfide bonds were identified. XCGL-1 adopted a four-lobed structure as observed by electron microscopy. The full-length XCGL-1 and the carbohydrate recognition domain (CRD) bind galactose-containing carbohydrates at nanomolar to micromolar affinities. Molecular modeling suggested that galactoside ligands coordinated the binding site calcium ion and interacted with residues around the groove made available by the non-conserved substitution compared to human intelectin-1. Folding conditions for production of recombinant XCGL-1 CRD were also investigated. Our results not only provide new biochemical insights into the function of XCGL-1, but may also provide foundation for further applications of XCGL-1 as glycobiology tools.
Figure 1. A) Previously reported crystal structure of trimeric hIntL-1 (PDB ID 4WMY) [10]. B) Ligand binding site in a previously reported crystal structure of XEEL (PDB ID 4WN0) [14]. C) Ligand binding site in a previously reported crystal structure of hIntL-1 (PDB ID 4WMY) [10]. D) Sequence alignment between XCGL-1, XEEL, and hIntL-1. Cysteine residues are labeled in yellow. Residues in the ligand binding sites are labeled in cyan. ∗,:, and. denote conserved, highly similar, and similar residues, respectively.
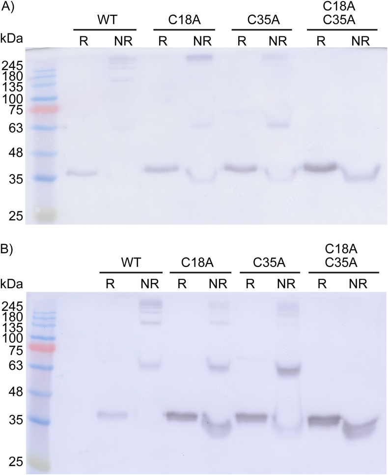
Figure 2. Western blot analysis of wild-type (WT) XCGL-1 and XCGL-1 with mutations at non-conserved cysteine residues using a pan-intelectin antibody. R = reducing conditions and NR = non-reducing conditions. A) XCGL-1 expressed in HEK293T cells. The uncropped image is shown in Figure S8. B) XCGL-1 expressed in T. ni cells. The uncropped image is shown in Figure S9.
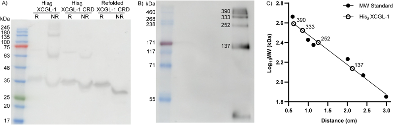
Figure 3. Molecular weight of XCGL-1 species. A) Western blot of XCGL-1 species under reducing (R) and non-reducing (NR) conditions probed with a pan-intelectin antibody. The uncropped image is shown in Figure S10. B) Western blot of His6 XCGL-1 under non-reducing conditioned probed with an anti-His6 antibody. The uncropped image is shown in Figure S11. C) Molecular weight standard plot with the molecular weight of the marker (solid circles) and molecular weight of His6 XCGL-1 bands (white circles).
Figure 4. Transmission electron micrograph of His6 XCGL-1. A) A representative field. The black bar at the bottom left corner is 200 Å long. The 4-lobed particles are indicated by arrows. B) Representation particles, not including those in A). Each particle box is 200 × 200 Å.
Figure 5. Size measurement of XCGL-1 variants by dynamic light scattering. A) His6-XCGL-1. B) His6-XCGL-1 CRD. C) Refolded XCGL-1 CRD. Three independent data sets were measured for each protein and shown as three different colors. The dash lines showed size distribution by intensity and the solid lines of the same color showed size distribution by number from the same experiment.
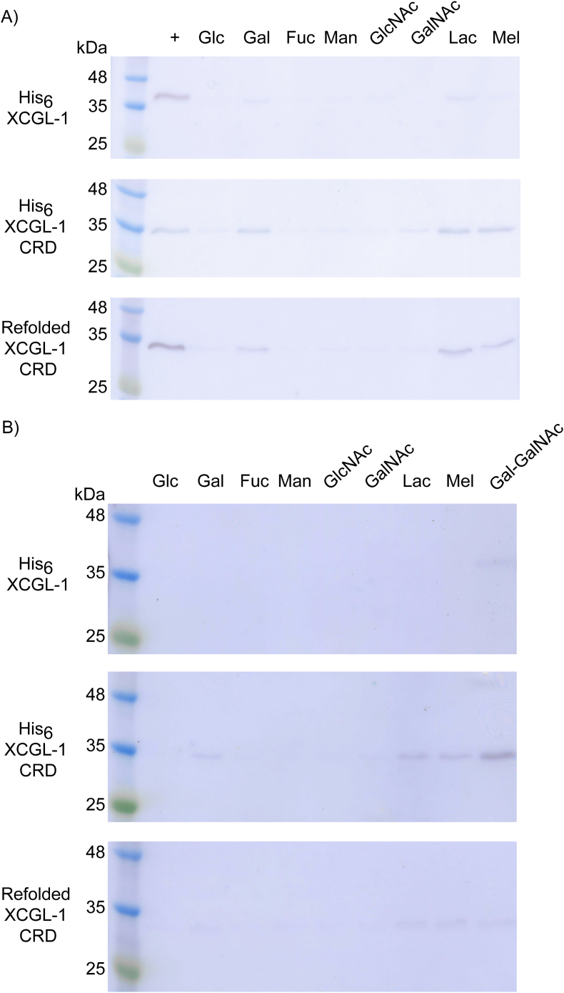
Figure 6. A) Elution of XCGL-1 bound to different carbohydrate resins by EDTA. The uncropped images are shown in Figure S12, Figure S13, and Figure S14. B) Competitive elution of XCGL-1 bound to lactose resin by various carbohydrates. The uncropped images are shown in Figure S15, Figure S16, and Figure S17. XCGL-1 CRD was detected with a pan-intelectin antibody. His6-tagged proteins were detected with an anti-His tag antibody (pan-intelectin antibody yielded similar results). Glc = D-glucose, Gal = D-galactose, Fuc = L-fucose, Man = D-mannose, GlcNAc = N-acetyl-D-glucosamine, GalNAc = N-acetyl-D-galactosamine, Lac = lactose (β-D-Gal-(1→4)-D-Glc), Mel = melibiose (α-D-Gal-(1→6)-D-Glc), Gal-GalNAc = α-D-Gal-(1→3)-D-GalNAc.
Figure 8. A) Hemagglutination activity of XCGL-1 variants. The number indicates XCGL-1 concentrations in nanomolar. EDTA and galactose was added as indicated at millimolar concentrations in the presence of 50 nM XCGL-1. B) Inhibition of hemagglutination by various carbohydrates in the presence of 25 nM XCGL-1. C) Inhibition of hemagglutination by α-D-Gal-(1→3)-D-GalNAc at lower concentrations than in B). Glc = D-glucose, Gal = D-galactose, Fuc = L-fucose, Man = D-mannose, GlcNAc = N-acetyl-D-glucosamine, GalNAc = N-acetyl-D-galactosamine, Lac = lactose (β-D-Gal-(1→4)-D-Glc), Mel = melibiose (α-D-Gal-(1→6)-D-Glc), Gal-GalNAc = α-D-Gal-(1→3)-D-GalNAc.
Figure 9. Model of galactosides bound in the ligand binding site of XCGL-1. The distances are in Å. A) α-D-Gal-(1→3)-α-methyl-D-GalNAc in orientation B. B) α-D-Gal-(1→3)-β-methyl-D-GalNAc.
Abe,
A unique primary structure, cDNA cloning and function of a galactose-specific lectin from ascidian plasma.
1999, Pubmed
Abe,
A unique primary structure, cDNA cloning and function of a galactose-specific lectin from ascidian plasma.
1999,
Pubmed
Alley,
High-sensitivity analytical approaches for the structural characterization of glycoproteins.
2013,
Pubmed
Arnold,
The SWISS-MODEL workspace: a web-based environment for protein structure homology modelling.
2006,
Pubmed
Biasini,
SWISS-MODEL: modelling protein tertiary and quaternary structure using evolutionary information.
2014,
Pubmed
Chamow,
Subunit structure of a cortical granule lectin involved in the block to polyspermy in Xenopus laevis eggs.
1986,
Pubmed
,
Xenbase
Charoenwongpaiboon,
Conserved Calcium-Binding Residues at the Ca-I Site Involved in Fructooligosaccharide Synthesis by Lactobacillus reuteri 121 Inulosucrase.
2020,
Pubmed
Charoenwongpaiboon,
Rational re-design of Lactobacillus reuteri 121 inulosucrase for product chain length control.
2019,
Pubmed
Charoenwongpaiboon,
Modulation of fructooligosaccharide chain length and insight into the product binding motif of Lactobacillus reuteri 121 inulosucrase.
2019,
Pubmed
Dam,
Multivalent lectin-carbohydrate interactions energetics and mechanisms of binding.
2010,
Pubmed
Datta,
Identification of novel genes in intestinal tissue that are regulated after infection with an intestinal nematode parasite.
2005,
Pubmed
Ding,
Intelectin mediated phagocytosis and killing activity of macrophages in blunt snout bream (Megalobrama amblycephala).
2019,
Pubmed
Fornstedt,
Characterization studies on a new lectin found in seeds of Vicia ervilia.
1975,
Pubmed
French,
Up-regulation of intelectin in sheep after infection with Teladorsagia circumcincta.
2008,
Pubmed
Fukamizo,
Chitinase from Autographa californica multiple nucleopolyhedrovirus: rapid purification from Sf-9 medium and mode of action.
2011,
Pubmed
Gill,
Location, location, location: new insights into O-GalNAc protein glycosylation.
2011,
Pubmed
Gordon,
H++: a server for estimating pKas and adding missing hydrogens to macromolecules.
2005,
Pubmed
Götz,
Routine Microsecond Molecular Dynamics Simulations with AMBER on GPUs. 1. Generalized Born.
2012,
Pubmed
Guerardel,
O-glycan variability of egg-jelly mucins from Xenopus laevis: characterization of four phenotypes that differ by the terminal glycosylation of their mucins.
2000,
Pubmed
,
Xenbase
Guérardel,
Identification of the blood group Lewis(a) determinant in the oviducal mucins of Xenopus tropicalis.
2003,
Pubmed
,
Xenbase
Guex,
Automated comparative protein structure modeling with SWISS-MODEL and Swiss-PdbViewer: a historical perspective.
2009,
Pubmed
Ishino,
Identification of novel members of the Xenopus Ca2+ -dependent lectin family and analysis of their gene expression during tail regeneration and development.
2007,
Pubmed
,
Xenbase
Jue,
Identification of cysteine residues alkylated with 3-bromopropylamine by protein sequence analysis.
1993,
Pubmed
Kang,
Total chemical synthesis and NMR characterization of the glycopeptide tx5a, a heavily post-translationally modified conotoxin, reveals that the glycan structure is alpha-D-Gal-(1-->3)-alpha-D-GalNAc.
2004,
Pubmed
Kanjanatanin,
Computational design of Bacillus licheniformis RN-01 levansucrase for control of the chain length of levan-type fructooligosaccharides.
2019,
Pubmed
Kiefer,
The SWISS-MODEL Repository and associated resources.
2009,
Pubmed
Kiessling,
Chemistry-driven glycoscience.
2018,
Pubmed
Kirschner,
GLYCAM06: a generalizable biomolecular force field. Carbohydrates.
2008,
Pubmed
Klaewkla,
Computational Design of Oligosaccharide-Producing Levansucrase from Bacillus licheniformis RN-01 to Increase Its Stability at High Temperature.
2021,
Pubmed
Klaewkla,
Computational design of oligosaccharide producing levansucrase from Bacillus licheniformis RN-01 to improve its thermostability for production of levan-type fructooligosaccharides from sucrose.
2020,
Pubmed
Lee,
Cloning and expression of a Xenopus laevis oocyte lectin and characterization of its mRNA levels during early development.
1997,
Pubmed
,
Xenbase
Lee,
Affinity enhancement by multivalent lectin-carbohydrate interaction.
2000,
Pubmed
Lin,
Characterization and comparative analyses of zebrafish intelectins: highly conserved sequences, diversified structures and functions.
2009,
Pubmed
Lindberg,
Structural studies of the O-specific side-chain of the lipopolysaccharide from Escherichia coli O 55.
1981,
Pubmed
Maier,
ff14SB: Improving the Accuracy of Protein Side Chain and Backbone Parameters from ff99SB.
2015,
Pubmed
Manissorn,
Biochemical and Structural Investigation of GnnA in the Lipopolysaccharide Biosynthesis Pathway of Acidithiobacillus ferrooxidans.
2020,
Pubmed
Matsui,
SDS-induced oligomerization of Lys49-phospholipase A2 from snake venom.
2019,
Pubmed
McMahon,
Stereoelectronic Effects Impact Glycan Recognition.
2020,
Pubmed
Mokmak,
Molecular dynamics of interactions between rigid and flexible antifolates and dihydrofolate reductase from pyrimethamine-sensitive and pyrimethamine-resistant Plasmodium falciparum.
2014,
Pubmed
Mokmak,
Molecular dynamics simulations reveal structural instability of human trypsin inhibitor upon D50E and Y54H mutations.
2013,
Pubmed
Morelle,
Structural analysis of oligosaccharide-alditols released by reductive beta-elimination from oviducal mucins of Bufo bufo: characterization of the carbohydrate sequence Gal(alpha1-3)GalNAc(alpha1-3)[Fuc(alpha1-2)]Gal.
1997,
Pubmed
Na Ayutthaya,
Insight into the substrate specificity change caused by the Y227H mutation of α-glucosidase III from the European honeybee (Apis mellifera) through molecular dynamics simulations.
2018,
Pubmed
Nagata,
Isolation, characterization, and extra-embryonic secretion of the Xenopus laevis embryonic epidermal lectin, XEEL.
2005,
Pubmed
,
Xenbase
Nagata,
Identification and characterization of a novel intelectin in the digestive tract of Xenopus laevis.
2016,
Pubmed
,
Xenbase
Nagata,
Bacterial lipopolysaccharides stimulate production of XCL1, a calcium-dependent lipopolysaccharide-binding serum lectin, in Xenopus laevis.
2013,
Pubmed
,
Xenbase
Nagata,
Developmental expression of XEEL, a novel molecule of the Xenopus oocyte cortical granule lectin family.
2003,
Pubmed
,
Xenbase
Nishihara,
Isolation and characterization of a lectin from the cortical granules of Xenopus laevis eggs.
1986,
Pubmed
,
Xenbase
Nivedha,
Vina-Carb: Improving Glycosidic Angles during Carbohydrate Docking.
2016,
Pubmed
Outenreath,
Endogenous lectin secretion into the extracellular matrix of early embryos of Xenopus laevis.
1988,
Pubmed
,
Xenbase
Pemberton,
Innate BALB/c enteric epithelial responses to Trichinella spiralis: inducible expression of a novel goblet cell lectin, intelectin-2, and its natural deletion in C57BL/10 mice.
2004,
Pubmed
,
Xenbase
Punnatin,
Molecular dynamics reveals insight into how N226P and H227Y mutations affect maltose binding in the active site of α-glucosidase II from European honeybee, Apis mellifera.
2020,
Pubmed
Roberson,
Lectin from embryos and oocytes of Xenopus laevis. Purification and properties.
1982,
Pubmed
,
Xenbase
Russell,
Identification, cloning and tissue localization of a rainbow trout (Oncorhynchus mykiss) intelectin-like protein that binds bacteria and chitin.
2008,
Pubmed
Russell,
Immunohistochemical localization of rainbow trout ladderlectin and intelectin in healthy and infected rainbow trout (Oncorhynchus mykiss).
2009,
Pubmed
Salomon-Ferrer,
Routine Microsecond Molecular Dynamics Simulations with AMBER on GPUs. 2. Explicit Solvent Particle Mesh Ewald.
2013,
Pubmed
Sengupta,
Structure of the O-specific side chain of the Escherichia coli O128 lipopolysaccharide.
1995,
Pubmed
Sharma,
Saccharide binding by intelectins.
2018,
Pubmed
Shashkov,
On the structure of the teichoic acid from the cell wall of Streptomyces antibioticus 39. Localization of the phosphodiester linkages and elucidation of the monomeric units structure by means of 13C-nuclear-magnetic-resonance spectroscopy.
1979,
Pubmed
Shoji,
Xenopus galectin-VIIa binds N-glycans of members of the cortical granule lectin family (xCGL and xCGL2).
2005,
Pubmed
,
Xenbase
Singrang,
Molecular properties and ligand specificity of zebrafish intelectin-2.
2022,
Pubmed
Singrang,
Biochemical and structural characterization of a recombinant fibrinogen-related lectin from Penaeus monodon.
2021,
Pubmed
Sitthiyotha,
Computational design of SARS-CoV-2 peptide binders with better predicted binding affinities than human ACE2 receptor.
2021,
Pubmed
Sitthiyotha,
Computational Design of 25-mer Peptide Binders of SARS-CoV-2.
2020,
Pubmed
Sitthiyotha,
Molecular dynamics provides insight into how N251A and N251Y mutations in the active site of Bacillus licheniformis RN-01 levansucrase disrupt production of long-chain levan.
2018,
Pubmed
Snyder,
Characterization of DC-SIGN/R interaction with human immunodeficiency virus type 1 gp120 and ICAM molecules favors the receptor's role as an antigen-capturing rather than an adhesion receptor.
2005,
Pubmed
Strecker,
Primary structure of 12 neutral oligosaccharide-alditols released from the jelly coats of the anuran Xenopus laevis by reductive beta-elimination.
1995,
Pubmed
,
Xenbase
Tan,
Brief report: a new profile of terminal N-acetyllactosamines glycans on pig red blood cells and different expression of alpha-galactose on Sika deer red blood cells and nucleated cells.
2010,
Pubmed
Taylor-Papadimitriou,
MUC1 and cancer.
1999,
Pubmed
Tsuji,
Human intelectin is a novel soluble lectin that recognizes galactofuranose in carbohydrate chains of bacterial cell wall.
2001,
Pubmed
,
Xenbase
van Halbeek,
Structures of monosialyl oligosaccharides isolated from the respiratory mucins of a non-secretor (O, Lea+b-) patient suffering from chronic bronchitis. Characterization of a novel type of mucin carbohydrate core structure.
1994,
Pubmed
Wangkanont,
Structures of Xenopus Embryonic Epidermal Lectin Reveal a Conserved Mechanism of Microbial Glycan Recognition.
2016,
Pubmed
,
Xenbase
Wangpaiboon,
Unravelling Regioselectivity of Leuconostoc citreum ABK-1 Alternansucrase by Acceptor Site Engineering.
2021,
Pubmed
Wesener,
Recognition of microbial glycans by human intelectin-1.
2015,
Pubmed
Yan,
Comparative genomic and phylogenetic analyses of the intelectin gene family: implications for their origin and evolution.
2013,
Pubmed