XB-ART-58731
Front Genet
2021 Nov 25;12:788346. doi: 10.3389/fgene.2021.788346.
Show Gene links
Show Anatomy links
Divergent Expression of SPARC, SPARC-L, and SCPP Genes During Jawed Vertebrate Cartilage Mineralization.
Romero A
,
Leurs N
,
Muñoz D
,
Debiais-Thibaud M
,
Marcellini S
.
???displayArticle.abstract???
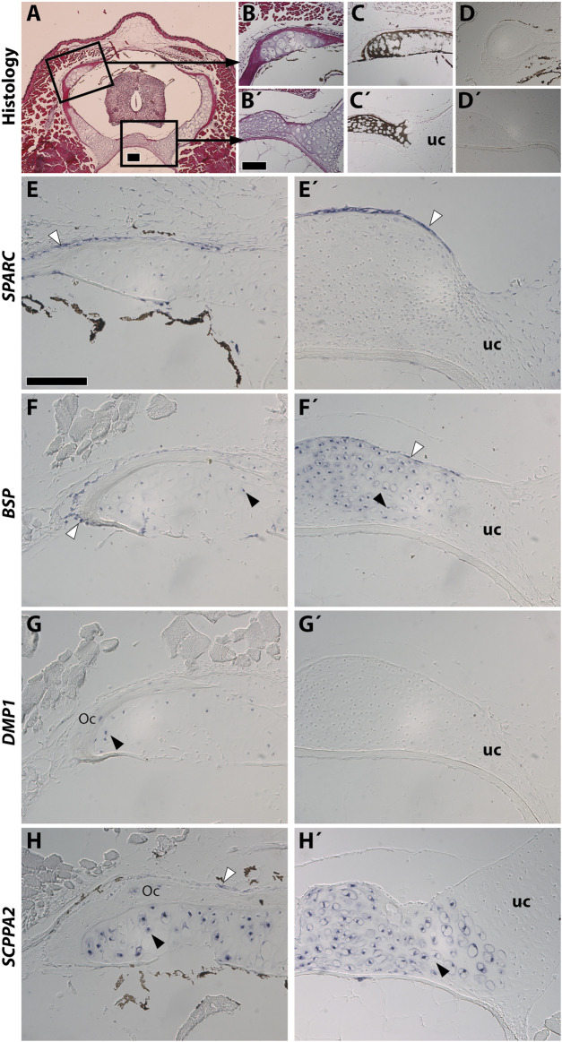
While cartilage is an ancient tissue found both in protostomes and deuterostomes, its mineralization evolved more recently, within the vertebrate lineage. SPARC, SPARC-L, and the SCPP members (Secretory Calcium-binding PhosphoProtein genes which evolved from SPARC-L) are major players of dentine and bone mineralization, but their involvement in the emergence of the vertebrate mineralized cartilage remains unclear. We performed in situ hybridization on mineralizing cartilaginous skeletal elements of the frog Xenopus tropicalis (Xt) and the shark Scyliorhinus canicula (Sc) to examine the expression of SPARC (present in both species), SPARC-L (present in Sc only) and the SCPP members (present in Xt only). We show that while mineralizing cartilage expresses SPARC (but not SPARC-L) in Sc, it expresses the SCPP genes (but not SPARC) in Xt, and propose two possible evolutionary scenarios to explain these opposite expression patterns. In spite of these genetic divergences, our data draw the attention on an overlooked and evolutionarily conserved peripheral cartilage subdomain expressing SPARC or the SCPP genes and exhibiting a high propensity to mineralize.
???displayArticle.pubmedLink??? 34899866
???displayArticle.pmcLink??? PMC8656109
???displayArticle.link??? Front Genet
Species referenced: Xenopus tropicalis
Genes referenced: sparc
???attribute.lit??? ???displayArticles.show???
References [+] :
Aeschlimann,
Transglutaminase-catalyzed matrix cross-linking in differentiating cartilage: identification of osteonectin as a major glutaminyl substrate.
1995, Pubmed
Aeschlimann, Transglutaminase-catalyzed matrix cross-linking in differentiating cartilage: identification of osteonectin as a major glutaminyl substrate. 1995, Pubmed
Bandyopadhyay, Identification of unique molecular subdomains in the perichondrium and periosteum and their role in regulating gene expression in the underlying chondrocytes. 2008, Pubmed
Bertrand, A dynamic history of gene duplications and losses characterizes the evolution of the SPARC family in eumetazoans. 2013, Pubmed
Bouleftour, Skeletal development of mice lacking bone sialoprotein (BSP)--impairment of long bone growth and progressive establishment of high trabecular bone mass. 2014, Pubmed
Brazeau, Endochondral bone in an Early Devonian 'placoderm' from Mongolia. 2020, Pubmed
Cervantes-Diaz, Evolutionary origin of endochondral ossification: the transdifferentiation hypothesis. 2017, Pubmed
Chen, Calcium and collagen binding properties of osteopontin, bone sialoprotein, and bone acidic glycoprotein-75 from bone. 1992, Pubmed
Chen, Localization of bone sialoprotein (BSP) expression to sites of mineralized tissue formation in fetal rat tissues by in situ hybridization. 1991, Pubmed
Close, Recommendations for euthanasia of experimental animals: Part 1. DGXI of the European Commission. 1996, Pubmed
Donoghue, Early evolution of vertebrate skeletal tissues and cellular interactions, and the canalization of skeletal development. 2006, Pubmed
Donoghue, Origin and early evolution of vertebrate skeletonization. 2002, Pubmed
Dyment, Gdf5 progenitors give rise to fibrocartilage cells that mineralize via hedgehog signaling to form the zonal enthesis. 2015, Pubmed
Enault, Molecular footprinting of skeletal tissues in the catshark Scyliorhinus canicula and the clawed frog Xenopus tropicalis identifies conserved and derived features of vertebrate calcification. 2015, Pubmed , Xenbase
Enault, Evolution of dental tissue mineralization: an analysis of the jawed vertebrate SPARC and SPARC-L families. 2018, Pubmed , Xenbase
Engel, Calcium binding domains and calcium-induced conformational transition of SPARC/BM-40/osteonectin, an extracellular glycoprotein expressed in mineralized and nonmineralized tissues. 1987, Pubmed
Espinoza, Two families of Xenopus tropicalis skeletal genes display well-conserved expression patterns with mammals in spite of their highly divergent regulatory regions. 2010, Pubmed , Xenbase
Estêvão, Ontogeny of osteonectin expression in embryos and larvae of sea bream (Sparus auratus). 2005, Pubmed
Estêvão, Cellular morphology and markers of cartilage and bone in the marine teleost Sparus auratus. 2011, Pubmed
Finn, Evolution and differential expression of a vertebrate vitellogenin gene cluster. 2009, Pubmed
Force, Preservation of duplicate genes by complementary, degenerative mutations. 1999, Pubmed
Forsprecher, Transglutaminase-mediated oligomerization promotes osteoblast adhesive properties of osteopontin and bone sialoprotein. 2011, Pubmed
Fujikawa, An in situ hybridization study of perlecan, DMP1, and MEPE in developing condylar cartilage of the fetal mouse mandible and limb bud cartilage. 2015, Pubmed
Fujisawa, Acidic amino acid-rich sequences as binding sites of osteonectin to hydroxyapatite crystals. 1996, Pubmed
Heilig, Insulin-like growth factor 1 receptor (IGF1R) signaling regulates osterix expression and cartilage matrix mineralization during endochondral ossification. 2016, Pubmed
Hirasawa, Evolution of the vertebrate skeleton: morphology, embryology, and development. 2015, Pubmed
Holland, In vivo expression of mRNA for the Ca++-binding protein SPARC (osteonectin) revealed by in situ hybridization. 1987, Pubmed
Johanson, Ontogenetic development of an exceptionally preserved Devonian cartilaginous skeleton. 2012, Pubmed
Johanson, No bones about it: an enigmatic Devonian fossil reveals a new skeletal framework--a potential role of loss of gene regulation. 2010, Pubmed
Kawasaki, Mineralized tissue and vertebrate evolution: the secretory calcium-binding phosphoprotein gene cluster. 2003, Pubmed
Kawasaki, Gene duplication and the evolution of vertebrate skeletal mineralization. 2007, Pubmed
Kawasaki, Phenogenetic drift in evolution: the changing genetic basis of vertebrate teeth. 2005, Pubmed
Kawasaki, The SCPP gene repertoire in bony vertebrates and graded differences in mineralized tissues. 2009, Pubmed , Xenbase
Kessels, Proteomics analysis of the zebrafish skeletal extracellular matrix. 2014, Pubmed
Kläning, Osteopontin binds multiple calcium ions with high affinity and independently of phosphorylation status. 2014, Pubmed
Krietenstein, Ultrastructural Details of Mammalian Chromosome Architecture. 2020, Pubmed
Leurs, Evolution of Matrix Gla and Bone Gla Protein Genes in Jawed Vertebrates. 2021, Pubmed
Li, Tracking gene expression during zebrafish osteoblast differentiation. 2009, Pubmed
Long, Development of the endochondral skeleton. 2013, Pubmed
Marulanda, Matrix Gla protein deficiency impairs nasal septum growth, causing midface hypoplasia. 2017, Pubmed
Maurer, The C-terminal portion of BM-40 (SPARC/osteonectin) is an autonomously folding and crystallisable domain that binds calcium and collagen IV. 1995, Pubmed
Maxwell, Variability and conservation in late chondrichthyan development: ontogeny of the winter skate (Leucoraja ocellata). 2008, Pubmed
McKinnon, Extracellular matrix-associated protein Sc1 is not essential for mouse development. 2000, Pubmed
Nakatani, Reconstruction of proto-vertebrate, proto-cyclostome and proto-gnathostome genomes provides new insights into early vertebrate evolution. 2021, Pubmed
Napierala, Uncoupling of chondrocyte differentiation and perichondrial mineralization underlies the skeletal dysplasia in tricho-rhino-phalangeal syndrome. 2008, Pubmed
Nikoloudaki, Functions of Matricellular Proteins in Dental Tissues and Their Emerging Roles in Orofacial Tissue Development, Maintenance, and Disease. 2021, Pubmed
Opazo, Gene turnover in the avian globin gene families and evolutionary changes in hemoglobin isoform expression. 2015, Pubmed
Paul, Ihha induces hybrid cartilage-bone cells during zebrafish jawbone regeneration. 2016, Pubmed
Pears, Mineralization of the Callorhinchus Vertebral Column (Holocephali; Chondrichthyes). 2020, Pubmed
Ramlochansingh, Efficacy of tricaine methanesulfonate (MS-222) as an anesthetic agent for blocking sensory-motor responses in Xenopus laevis tadpoles. 2014, Pubmed , Xenbase
Redruello, Isolation and characterization of piscine osteonectin and downregulation of its expression by PTH-related protein. 2005, Pubmed
Renn, Dynamic expression of sparc precedes formation of skeletal elements in the Medaka (Oryzias latipes). 2006, Pubmed
Rosset, SPARC/osteonectin in mineralized tissue. 2016, Pubmed
Rotllant, Sparc (Osteonectin) functions in morphogenesis of the pharyngeal skeleton and inner ear. 2008, Pubmed
Ryll, The genome of Callorhinchus and the fossil record: a new perspective on SCPP gene evolution in gnathostomes. 2014, Pubmed
Schreiweis, A proteomic analysis of adult rat bone reveals the presence of cartilage/chondrocyte markers. 2007, Pubmed
Termine, Osteonectin, a bone-specific protein linking mineral to collagen. 1981, Pubmed
Tsang, Fate of growth plate hypertrophic chondrocytes: death or lineage extension? 2015, Pubmed
Ustriyana, Spatial survey of non-collagenous proteins in mineralizing and non-mineralizing vertebrate tissues ex vivo. 2021, Pubmed
Vandebergh, Radiation and functional diversification of alpha keratins during early vertebrate evolution. 2012, Pubmed
Venkatesh, Elephant shark genome provides unique insights into gnathostome evolution. 2014, Pubmed
Viegas, Sturgeon osteocalcin shares structural features with matrix Gla protein: evolutionary relationship and functional implications. 2013, Pubmed
Weigele, Expression of SPARC and the osteopontin-like protein during skeletal development in the cichlid fish Oreochromis mossambicus. 2015, Pubmed
Yagami, Matrix GLA protein is a developmental regulator of chondrocyte mineralization and, when constitutively expressed, blocks endochondral and intramembranous ossification in the limb. 1999, Pubmed
Ye, Dmp1-deficient mice display severe defects in cartilage formation responsible for a chondrodysplasia-like phenotype. 2005, Pubmed
Zhang, Genome duplication and the origin of the vertebrate skeleton. 2008, Pubmed
Zheng, The role of 3D genome organization in development and cell differentiation. 2019, Pubmed
